Skip to main content
Emerging therapies

Emerging therapies

Tumour-specific radiofrequency fields suppress brain cancer growth

28 Oct 2025 Tami Freeman
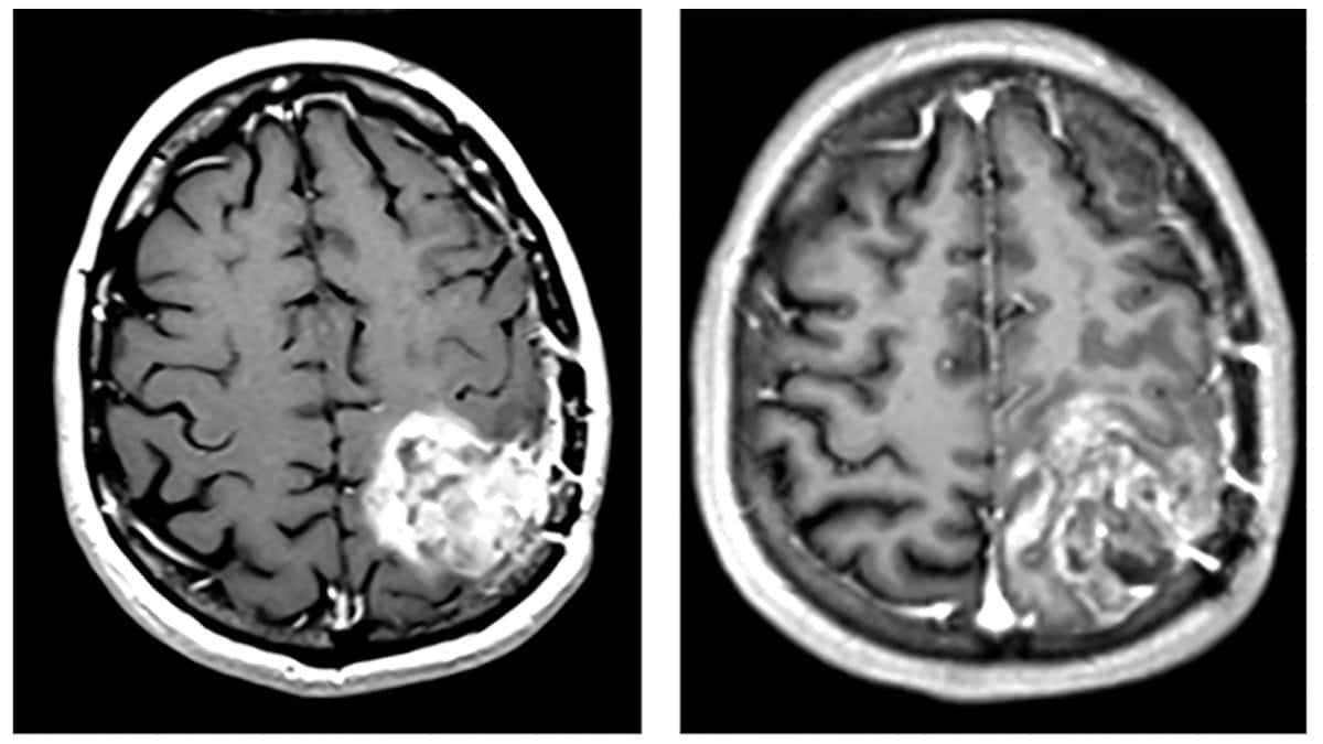
Brain MR images before and after TheraBionic treatment
Clinical response MR images from a patient with glioblastoma obtained before (left) and after (right) treatment with the TheraBionic device emitting GBMF. Post-treatment scans exhibited a more heterogeneous and ill-defined enhancement pattern than the initial scans, suggestive of treatment effect rather than tumour progression. (Courtesy: CC BY 4.0/Oncotarget 10.18632/oncotarget.28770)

A research team headed up at Wayne State University School of Medicine in the US has developed a novel treatment for glioblastoma, based on exposure to low levels of radiofrequency electromagnetic fields (RF EMF). The researchers demonstrated that the new therapy slows the growth of glioblastoma cells in vitro and, for the first time, showed its feasibility and clinical impact in patients with brain tumours.

The study, led by Hugo Jimenez and reported in Oncotarget, uses a device developed by TheraBionic that delivers amplitude-modulated 27.12 MHz RF EMF throughout the entire body, via a spoon-shaped antenna placed on the tongue. Using tumour-specific modulation frequencies, the device has already received US FDA approval for treating patients with advanced hepatocellular carcinoma (HCC, a liver cancer), while its safety and effectiveness are currently being assessed in clinical trials in patients with pancreatic, colorectal and breast cancer.

In this latest work, the team investigated its use in glioblastoma, an aggressive and difficult to treat brain tumour.

To identify the particular frequencies needed to treat glioblastoma, the team used a non-invasive biofeedback method developed previously to study patients with various types of cancer. The process involves measuring variations in skin electrical resistance, pulse amplitude and blood pressure while individuals are exposed to low levels of amplitude-modulated frequencies. The approach can identify the frequencies, usually between 1 Hz and 100 kHz, specific to a single tumour type.

Jimenez and colleagues first examined the impact of glioblastoma-specific amplitude-modulated RF EMF (GBMF) on glioblastoma cells, exposing various cell lines to GBMF for 3 h per day at the exposure level used for patient treatments. After one week, GBMF decreased the proliferation of three glioblastoma cell lines (U251, BTCOE-4765 and BTCOE-4795) by 34.19%, 15.03% and 14.52%, respectively.

The team note that the level of this inhibitive effect (15–34%) is similar to that observed in HCC cell lines (19–47%) and breast cancer cell lines (10–20%) treated with tumour-specific frequencies. A fourth glioblastoma cell line (BTCOE-4536) was not inhibited by GBMF, for reasons currently unknown.

Next, the researchers examined the effect of GBMF on cancer stem cells, which are responsible for treatment resistance and cancer recurrence. The treatment decreased the tumour sphere-forming ability of U251 and BTCOE-4795 cells by 36.16% and 30.16%, respectively – also a comparable range to that seen in HCC and breast cancer cells.

Notably, these effects were only induced by frequencies associated with glioblastoma. Exposing glioblastoma cells to HCC-specific modulation frequencies had no measurable impact and was indistinguishable from sham exposure.

Looking into the underlying treatment mechanisms, the researchers hypothesized that – as seen in breast cancer and HCC – glioblastoma cell proliferation is mediated by T-type voltage-gated calcium channels (VGCC). In the presence of a VGCC blocker, GBMF did not inhibit cell proliferation, confirming that GBMF inhibition of cell proliferation depends on T-type VGCCs, in particular, a calcium channel known as CACNA1H.

The team also found that GBMF blocks the growth of glioblastoma cells by modulating the “Mitotic Roles of Polo-Like Kinase” signalling pathway, leading to disruption of the cells’ mitotic spindles, critical structures in cell replication.

A clinical first

Finally, the researchers used the TheraBionic device to treat two patients: a 38-year-old patient with recurrent glioblastoma and a 47-year-old patient with the rare brain tumour oligodendroglioma. The first patient showed signs of clinical and radiological benefit following treatment; the second exhibited stable disease and tolerated the treatment well.

“This is the first report showing feasibility and clinical activity in patients with brain tumour,” the authors write. “Similarly to what has been observed in patients with breast cancer and hepatocellular carcinoma, this report shows feasibility of this treatment approach in patients with malignant glioma and provides evidence of anticancer activity in one of them.”

The researchers add that a previous dosimetric analysis of this technique measured a whole-body specific absorption rate (SAR, the rate of energy absorbed by the body when exposed to RF EMF) of 1.35 mW/kg and a peak spatial SAR (over 1 g of tissue) of 146–352 mW/kg. These values are well within the safety limits set by the ICNIRP (whole-body SAR of 80 mW/kg; peak spatial SAR of 2000 mW/kg). Organ-specific values for grey matter, white matter and the midbrain also had mean SAR ranges well within the safety limits.

The team concludes that the results justify future preclinical and clinical studies of the TheraBionic device in this patient population. “We are currently in the process of designing clinical studies in patients with brain tumors,” Jimenez tells Physics World.

Back to Emerging therapies Emerging therapies
Copyright © 2026 by IOP Publishing Ltd and individual contributors